Rabbit Anti-Histone H2A Polyclonal Antibody
Katalog-Nummer CPA6462-50ul
Size : 50ul
Marke : Cohesion Biosciences
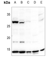
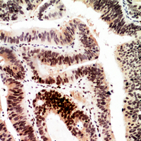
Description:Rabbit polyclonal antibody to Histone H2AImmunogen:KLH-conjugated synthetic peptide encompassing a sequence within the center region of human Histone H2A. The exact sequence is proprietary.Purification:The antibody was purified by immunogen affinity chromatography.Clonality:PolyclonalForm:Liquid in 0.42% Potassium phosphate, 0.87% Sodium chloride, pH 7.3, 30% glycerol, and 0.01% sodium azide.Dilution:WB (1/500 - 1/1000), IH (1/50 - 1/200)Gene Symbol:HIST1H2AG; HIST1H2AI; HIST1H2AK; HIST1H2AL; HIST1H2AMAlternative Names:H2AFP; H2AFC; H2AFD; H2AFI; H2AFN; Histone H2A type 1; H2A.1; Histone H2A/p Entrez Gene (Human): 8329; 8330; 8332; 8336; 8969; Entrez Gene (Mouse): 319164; 319165; 319166; 319167; 319170; 319171; 319172; 319191; 665433; SwissProt (Human): P0C0S8; SwissProt (Mouse): P22752; SwissProt (Rat): P02262; Storage/Stability:Shipped at 4°C. Upon delivery aliquot and store at -20°C for one year. Avoid freeze/thaw cycles.



